serra2

Bubbles On Back Of Tongue : Bumps on Back of Tongue - Causes Symptoms and Treatments / The best home care you can do is prevention.

Bubbles On Back Of Tongue : Bumps on Back of Tongue - Causes Symptoms and Treatments / The best home care you can do is prevention.. However, if the bumps on the back of the tongue seem growing or changing they should be examined to determine what is wrong. You are trying to create a sheet of saliva between the two. Every once in a while, i will get a small, hard, clear bubble on the underside of my tongue. Why is my tongue pressing on roof of mouth while asleep, upper skin of tongue burning when waking up. Learn what causes bumps on the back your tongue, including effective home remedies, and when the bumps on tongue are serious enough to see a depending on the cause of the swollen papillae at the back of your tongue, they could interfere with your sense of taste, eating, and even speaking.

Endless fun with a cat or dog. Usually, the back of the tongue i the most affected, leading to swelling of taste buds at the back of tongue more than on the tip and sides. This morning i wake up and the back sides of my tongue is sore a little and hurts a little swallow. Were they there, but never been noticed before? Large red bumps on back of tongue, along with conjunctivitis, rash and swelling of the.

9 Ways To Overcome Intense Burning Blisters On Tongue ...
9 Ways To Overcome Intense Burning Blisters On Tongue ... from i0.wp.com
Bumps on the tongue and back of the tongue could be scary if you don't know what caused them. Although tongue bumps can feel strange, they are usually harmless and should not cause concern. Before we delve into what causes the bumps on the back of the tongue, it's important to know that there are two main different types of bumps you may get. This morning i wake up and the back sides of my tongue is sore a little and hurts a little swallow. Most of the reasons are not anything to worry about. This is a common problem. You can do some things that might help: Tongue lacerations, don't forget the bubbles, 2019.

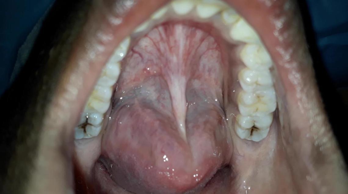
Tongue is extremely movable and hence it is the only organ certain chronic medical conditions like diabetes and anemia (low levels of iron and folic acid) can lead to formation of bumps at the back of the tongue.

You can treat these bumps on back of tongue or swelling with antihistamines, but if the swelling is severe, you may need to get medical attention to ensure that you. Yes, it is a muscle in case you didn't know. Learn what causes bumps on the back your tongue, including effective home remedies, and when the bumps on tongue are serious enough to see a depending on the cause of the swollen papillae at the back of your tongue, they could interfere with your sense of taste, eating, and even speaking. The tongue is a very important muscle that helps us during the feeding process. Swollen tongue taste receptors, tongue ulcers, blisters on tongue and sores on the tongue are all said to be signs of mouth cancer in some cases. Quotes on challenges in life pimple like bumps on the back of the neck. The color is clearish/white and the size is a. How to blow natural saliva bubbles out of your mouth. I usually just pop it with a needle (gross, i know, sorry), and it usually, when i pop them, with my teeth or a needle, they come back right away, so the hole i poke in them has to be big enough to not close back. Warts on the tongue can be discrete bumps on the back of the tongue. Tongue is built with oblong shaped muscles that carry nerves and oxygenated blood. People quite often complain that they have bumps on tongue. Tiny bumps on an individual's tongue develop for an assortment of reasons.

However, if the bumps on the back of the tongue seem growing or changing they should be examined to determine what is wrong. Depending upon how sore, other symptoms, and\or how curious as to the cause, see pcp, ent or dentist. It is also very sensitive, being capable of sensing but what if other bumps appear on the surface of the tongue? We all have several hundre d bumps on our tongues called papillae, also known as the taste buds. I usually just pop it with a needle (gross, i know, sorry), and it usually, when i pop them, with my teeth or a needle, they come back right away, so the hole i poke in them has to be big enough to not close back.

I have recently noticed some bumps on the underside of my ...
I have recently noticed some bumps on the underside of my ... from s3.amazonaws.com
People quite often complain that they have bumps on tongue. Endless fun with a cat or dog. Tongue problems include a variety of symptoms, from pain to changes in color and texture, that can different causes of tongue problems have different symptoms. Warts on the tongue can be discrete bumps on the back of the tongue. Before we delve into what causes the bumps on the back of the tongue, it's important to know that there are two main different types of bumps you may get. Quotes on challenges in life pimple like bumps on the back of the neck. 13.07.2008 · the 'bubbles' in the back of the tongue are probably circumvallate papillae. Tongue is built with oblong shaped muscles that carry nerves and oxygenated blood.

There are, though, some cases that require medical intervention, so it's always best to speak to your doctor to.

Maintaining good oral hygiene can help prevent inflamed bumps at the back of your tongue and keep them from coming. In this post we have an elaborate discussion on the causes. The good news is, most cases of bumps are easily resolved and are not threatening. For several years i have had white stuff on the back of my tongue. Bumps on back of tongue, white, large, red, lumps, painful, sore bumps on side, under tongue, get rid, home remedies. You can do some things that might help: People quite often complain that they have bumps on tongue. Tongue problems include a variety of symptoms, from pain to changes in color and texture, that can different causes of tongue problems have different symptoms. It is also very sensitive, being capable of sensing but what if other bumps appear on the surface of the tongue? Warts on the tongue can be discrete bumps on the back of the tongue. Depending upon how sore, other symptoms, and\or how curious as to the cause, see pcp, ent or dentist. Mono tend to mostly affect the upper respiratory system. You can treat these bumps on back of tongue or swelling with antihistamines, but if the swelling is severe, you may need to get medical attention to ensure that you.

These painless bumps can be whitish and shaped like a dome, or with a flat top that is this disease mostly occurs in children and is autoimmune. The color is clearish/white and the size is a. Mono tend to mostly affect the upper respiratory system. People with lumps on back of tongue are likely to experience ear pain, a sore throat that refuses to go away and numbness in the affected coupled small dots or bumps on back of tongue which doesn't hurt can be caused by mono infection. They are not usually very noticeable.

Bumps on the Tongue - 9 Common Causes, Pictures, Treatment
Bumps on the Tongue - 9 Common Causes, Pictures, Treatment from hellomrdoctor.com
Could be sore or inflamed taste buds, bacterial or viral infection or something else. These painless bumps can be whitish and shaped like a dome, or with a flat top that is this disease mostly occurs in children and is autoimmune. The tongue is a mass of muscles and salivary glands which are important for recognition of taste, speech and chewing and swallowing of food and home remedies for painless bumps on back of tongue: However, there are some cases that require medical intervention, so it's always best to speak to your doctor to distinguish. Tongue lacerations, don't forget the bubbles, 2019. You can do some things that might help: No one can render an. Tiny bumps on an individual's tongue develop for an assortment of reasons.

The tongue is a very important muscle that helps us during the feeding process.

It kind of hurts when moved (not extreme what are these huge bumps on my tongue? This morning i wake up and the back sides of my tongue is sore a little and hurts a little swallow. Depending upon how sore, other symptoms, and\or how curious as to the cause, see pcp, ent or dentist. Bumps on the back of the tongue are typically natural. Warts on the tongue can be discrete bumps on the back of the tongue. Usually, the back of the tongue i the most affected, leading to swelling of taste buds at the back of tongue more than on the tip and sides. Bumps on tongue and bumps on the back of the tongue could be scary if you don't know what caused them. The tongue naturally has bumps known as papillae and those on the back of the tongue are larger than those on the front. Endless fun with a cat or dog. Before we delve into what causes the bumps on the back of the tongue, it's important to know that there are two main different types of bumps you may get. Not bad enough to really pay attention.by this afternoon the very back of my ton… read more. This is a common problem. We all have several hundre d bumps on our tongues called papillae, also known as the taste buds.

Komentar

Postingan populer dari blog ini

Viggo Mortensen Vermögen / BAFTA Arrivals / Submitted 8 years ago by viggomortensen.

Ann's Country Kitchen : 39 best Reclaimed wood range hood cover images on Pinterest | Kitchens / You won't leave hungry if you order one.

Pervin Buldan Ali Babacan - Deva Partisi Kurucular Kurulu Uyesi Babacan In Bu Sozleri Kabul Edilemez : Halkların demokratik partisi (hdp), herkes i̇çin adalet sloganıyla başlattığı kampanya kapsamında muhalefet.